15天痊愈出院!旺苍县人民医院神经外科成功救治重症高血压脑出血患者

发表时间:2026-01-14 14:48

近日,旺苍县人民医院神经外科团队凭借精湛的显微外科技术,成功为一名68岁重症高血压脑出血患者实施显微镜下小骨窗经侧裂岛叶入路脑内血肿清除术。术后患者恢复良好,仅15天便痊愈出院,肢体功能完全恢复正常。


据悉,患者为独居老人,入院前3小时被其侄儿发现倒卧床旁,未盖被褥,周边有呕吐物,已陷入昏迷、呼之不应,伴小便失禁,发病时间疑为夜间。侄儿紧急将其送至我院急诊科,头颅CT检查显示:右侧额颞叶脑出血,血肿量约80mL,右侧侧脑室受压,中线结构移位,已出现脑疝迹象,病情危急,当即以“高血压脑出血”收入神经外科。


图片

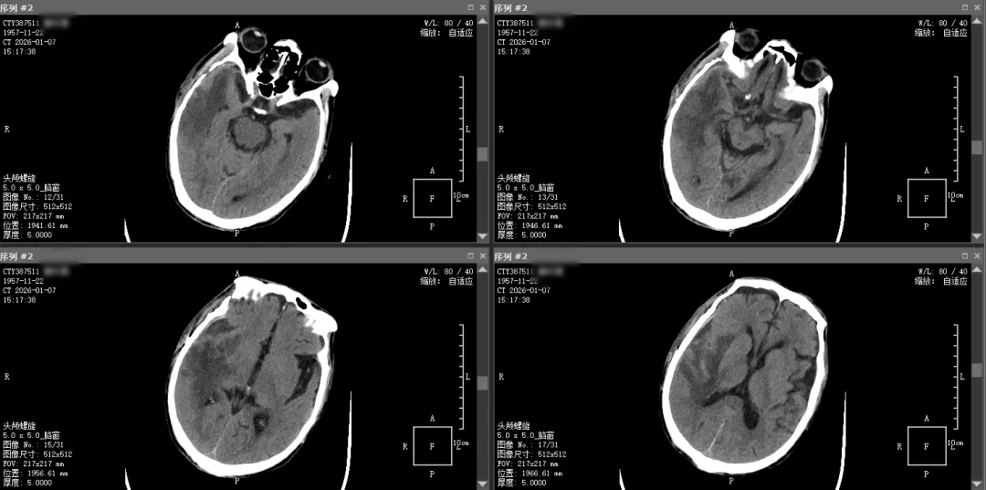
▲术前头颅CT影像图


入院查体显示,患者血压高达200/111mmHg,呈浅昏迷状态,GCS评分6分(E1V1M4),mRS评分4分,生理反射减弱,病情凶险。为挽救患者生命,神经外科团队迅速制定救治方案,立即完善急诊头颈CTA检查,明确侧裂血管与血肿的解剖关系,随后启动全麻下急诊手术。

手术由神经外科主任医师黄德尧带领团队实施,遵循显微神经外科“由近及远、由浅入深”原则,辅以“水解剖”技术,轻柔分离侧裂蛛网膜,精准避开大脑中动脉及其分支、侧裂静脉复合体等重要结构,于岛叶皮质无血管区造瘘后清除血肿。术中见颅内压显著增高、脑搏动差,累计清除血肿80mL,止血确切,手术历时5小时顺利完成,术后带气管插管经人工气囊辅助通气转入ICU监护治疗。


d5c11ac2b27eba7fb42b1d372104e919.jpg

8b18acb983cdd075cb0dc74a6c2c6fb4.jpg


术后6小时复查头颅CT提示血肿完全清除,术区无积血残留,为恢复奠定基础。术后4天,患者完全清醒,顺利转回普通病房;术后15天,肢体功能完全恢复,可正常下床活动,符合痊愈出院标准。


14fb7827-ec42-4496-aa11-bdd70a7d5d16.jpg

▲患者恢复自主活动

图片

▲术后复查头颅CT影像图

图片

▲术后12天复查头颅CT影像图


据神经外科团队介绍,经侧裂-岛叶入路是显微神经外科创新术式,核心优势为借助大脑外侧裂天然解剖通道直达深部病灶,规避传统手术对大脑皮质的暴露损伤。该术式可精准清血肿、快速降颅压,同时保护皮质及功能传导束,减少术后脑水肿等并发症,助力神经功能恢复,契合现代神经外科精细化、个性化发展趋势。


图片


此次手术的成功实施,充分展现了神经外科团队对复杂解剖结构的精准把握以及对显微外科技术的娴熟运用,更彰显了我院在重症脑出血救治领域的综合实力,进一步提升了县域内重症神经疾病的救治水平,为重症脑病患者筑牢更坚实的健康保障。

分享到: