科普|别让肝脏“悄悄长胖”!超声科医生带你读懂脂肪肝

发表时间:2025-10-31 08:56

熊敏华


提到脂肪肝,相信大家都不陌生,日常体检或检查中会经常听到。那么朋友们就会问了什么是脂肪肝?简单的说我们正常人的肝脏里脂肪超过了一定的量,肝脏就会被过多的脂肪“占领”,就形成了脂肪肝。

拿到体检报告,看到“脂肪肝”三个字时,你是否会疑惑:“我不胖,怎么会得脂肪肝?”作为每天和超声影像打交道的医生,我想告诉大家:脂肪肝早已不是胖子的“专利”,它正悄悄盯上更多人,而超声检查,就是发现它的“火眼金睛”。


图片1.png


◆ 超声下的脂肪肝:肝脏在“求救”


当你躺在超声检查床上,探头在腹部滑动时,我们看到的肝脏正在“说话”。

健康的肝脏在超声下是均匀的“中等回声”,像一块质地细腻的豆腐;而脂肪肝患者的肝脏,会因为脂肪堆积变得“回声增强”,就像豆腐里掺了一层油,甚至会把肝脏里的血管“藏”起来——这是因为脂肪会阻碍超声波的穿透,让血管边界变得模糊。

我们还会根据脂肪堆积的程度,把脂肪肝分为轻、中、重三级:

轻度:肝回声增强,后方回声衰减不明显,肝内管道结构显示正常。

中度:肝回声明显增强,后方回声衰减,肝内管道结构显示欠清晰。

重度: 表现为肝脏普遍性增大,形态饱满,肝缘角显著变钝,肝实质回声呈近场显著增强,远场2/3衰减呈低回声或无回声,后缘轮阔显示不清,整个肝区透声性差,似有一层薄雾,肝内管状结构、膈肌显示很差或不能显示。


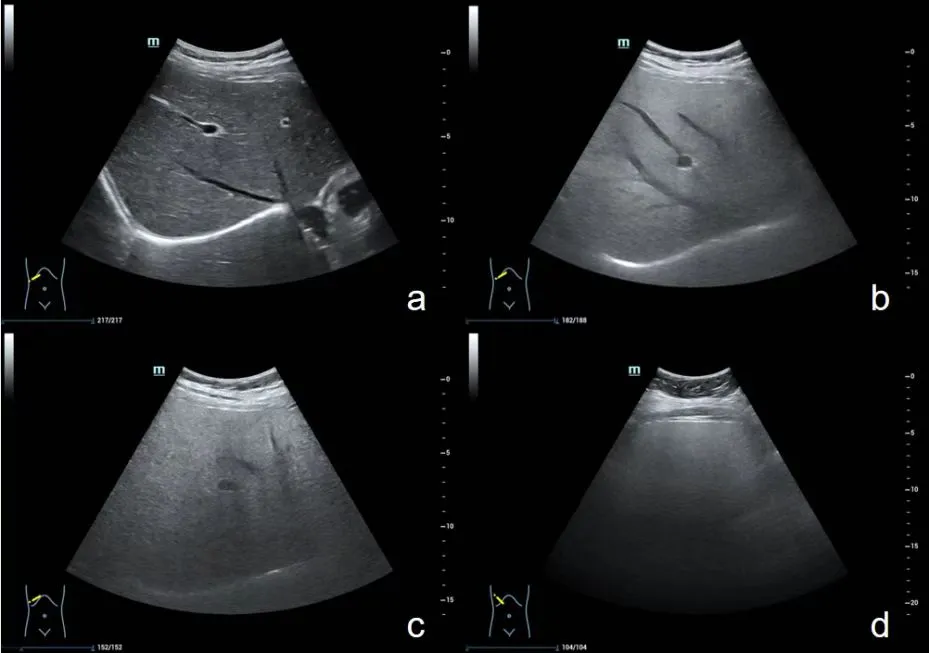
图片2.png

a图正常肝脏   b图轻度脂肪肝   c图中度脂肪肝   d图重度脂肪肝


很多人觉得“轻度脂肪肝没关系”,但超声影像告诉我们:只要出现脂肪堆积,肝脏就已经在“求救”了——脂肪会慢慢挤压肝细胞,长期下来可能发展成肝炎、肝硬化,甚至增加肝癌风险。


这些人,都是脂肪肝的“高危选手”


别再以为只有体重超标的人才会得脂肪肝,以下几类人,我们在超声检查中经常遇到:

1、“隐形胖子”:体重正常,但肚子大(腰围男性≥90cm、女性≥85cm),内脏脂肪超标,肝脏更容易堆积脂肪;

2、“奶茶咖啡党”:每天喝含糖饮料、奶茶,过量糖分在体内会转化为脂肪,直接“喂胖”肝脏;

3、“熬夜加班族”:长期熬夜会打乱肝脏代谢节奏,脂肪无法及时分解,只能在肝脏里“安家”;


图片3.png


4、“素食不运动者”:只吃素食却不运动,蛋白质摄入不足,肝脏代谢脂肪的能力会下降,反而容易积油;

5、“长期服药/饮酒者”:某些药物(如部分降脂药、激素类药物)和酒精,会直接损伤肝细胞,影响脂肪代谢。


查出脂肪肝,别慌!这样做能“逆转”


很多人查出脂肪肝后会焦虑:“能治好吗?需要吃药吗?”其实,早期脂肪肝是可逆的,关键于“管住嘴、迈开腿”,而不是依赖药物


图片4.png


1. 饮食:给肝脏“减油”,更要“补营养”

少吃“隐形糖”:奶茶、蛋糕、含糖酸奶要戒掉,甚至白米饭、面条也要控制量(每天不超过2碗),用杂粮、薯类代替;

多吃“护肝菜”:每天吃够半斤绿叶菜(菠菜、油麦菜),搭配优质蛋白(鸡蛋、鱼肉、豆制品),蛋白质能帮助肝脏分解脂肪;

少碰“伤肝物”:酒精是肝脏的“天敌”,无论度数高低都要戒;油炸食品、动物内脏也要少吃,减少肝脏负担。

2. 运动:不用“猛动”,贵在坚持

选择“温和运动”:每天快走30分钟(约5000步),或跳广场舞、骑自行车,每周至少5次;

避免“极端运动”:不用突然去跑马拉松,过度运动反而会增加肝脏负担,循序渐进才有效。


图片5.png


3. 复查:每年一次超声,盯紧肝脏变化

轻度脂肪肝:调整生活习惯后,每年做一次腹部超声,观察脂肪是否减少;

中重度脂肪肝:除了超声,还要查肝功能(看转氨酶是否升高),每半年复查一次,避免发展成肝炎。

很多轻中度脂肪肝的患者,通过日复一日的健康饮食及体重管理,在超声复查中,肝脏回声已正常或接近正常状态,因此生活方式的调整,正是让身体重获健康的关键。


最后想对你说:

脂肪肝不是“小病”,但也不是“绝症”。它更像身体给你的一个“预警信号”,提醒你该调整生活习惯了。作为超声科医生,我希望每次检查后,你看到的不只是“脂肪肝”的结论,更是改变的动力。

别让肝脏在不知不觉中“长胖”,超声检查就是守护肝脏健康的第一道防线。从今天开始,管住嘴,迈开腿,让肝脏重新变回健康的“瘦子”。

分享到: