护航儿童骨骼健康——旺苍县人民医院成功开展首例儿童桡骨颈骨折微创修复手术

发表时间:2025-12-04 14:31

12月2日,旺苍县人民医院骨科门诊大厅暖意融融,13岁患者小杰(化名)及其家属将一面印着“医德高尚暖人心,技术精湛传四方” 的鲜红锦旗,郑重地送到我院骨科团队手中。“太感谢你们了!不仅让孩子少受罪,还没留下疤痕,现在手臂活动完全正常,一点不影响学习和运动!”这温情一幕,源于我院近期成功开展的县域首例微创克氏针撬拨复位联合弹性髓内钉治疗儿童桡骨颈骨折手术,该手术不仅填补了全县在该领域的技术空白,更用精准医疗为患儿撑起了健康蓝天。

1112.jpg


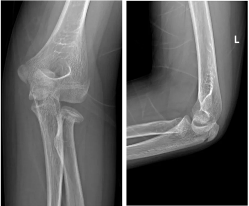
不久前,小杰在学校运动时不慎摔倒,左肘部瞬间剧痛、无法活动,家属紧急将其送至我院骨科。经影像学检查,小杰被确诊为 “左桡骨颈骨折”,桡骨颈位于肘关节桡骨近端,骨折后若处理不当,可能影响前臂旋转功能及肘关节发育,这对实施手术要求较高。

捕获.PNG

术前X片见桡骨颈成角移位


我院骨科团队高度重视,李俊主任立即牵头组织科室骨干医师开展病情研讨,同时邀请西南医科大学附属医院“组团式”帮扶专家向飞帆博士,从微创技术操作规范、儿童骨骺保护细节、术后康复方案制定等方面提供专业指导。

考虑到患儿处于生长发育期,传统开放手术创伤大、疤痕明显,且可能影响骨骺。骨科团队最终确定采用 “微创克氏针撬拨复位联合弹性髓内钉固定术”--该方案无需大切口,仅通过 “针眼级” 入路即可完成复位,能最大程度减少对骨骺的干扰,且术后恢复快、疤痕不明显,完全契合儿童患者的治疗需求。

手术当日,向飞帆博士、何兴远副主任医师与张维孟主治医师同台协作,在C臂机实时影像引导下,术者精准定位骨折断端,仅通过一个“针眼”大小的入路置入克氏针,轻柔撬拨移位骨块,实现骨折“解剖复位”(断端恢复至原有解剖位置);随后在桡骨远端作 1.5cm 微小切口,顺利置入弹性髓内钉完成固定。整个手术过程创伤极小,术中出血量不足 5ml。

捕获2.PNG

▲克氏针微创撬拨复位

QQ截图20251205161918.png

▲红色箭头所示为克氏针撬拨复位的入针点

图片6.png

▲术后复查X线片显示:桡骨颈骨折解剖复位,内固定位置理想

“住院期间,医生每天查房都仔细检查恢复情况,护士还手把手教我们怎么帮孩子做康复锻炼,服务特别贴心。” 小杰父亲对我院的诊疗服务赞不绝口。

此次县域首例儿童桡骨颈骨折微创手术的成功实施,不仅是我院骨科团队专业核心技术的又一拓展和进步,更彰显了医疗人才“组团式” 帮扶机制对县域医疗服务能力提升的重要推动作用,通过引入大型三甲医院的顶尖人才和优势技术资源,以人才培养和技术平移为抓手,使我院得以快速突破小儿创伤骨科的技术瓶颈,真正实现优质医疗资源下沉,在家门口就能享受到省内头部医院的优质医疗服务。





专家简介



图片

向飞帆

医学博士

主治医师

西南医科大学附属医院骨与关节外科,中共党员。四川省医师协会骨科肩肘外科学组副组长、中国医药教育协会肩肘运动医学专业委员会常委、四川省医学会第五届手外科与显微外科专委会秘书、四川省医师协会显微外科分会青年委员、中国西部运动医学关节镜联盟会第八届联盟会青年委员、四川省预防医学运动促进健康与损伤疾病防控分会委员。主持省、市等各级课题7项,以第一作者发表SCI论文20余篇,获国家发明专利1项,实用新型专利4项。长期从事骨关节临床、科研、教学工作,擅长四肢创伤及肩肘腕关节的微创治疗;周围神经、肌腱损伤修复与功能重建;放射性核素诊治骨肿瘤。多次获评“西南医科大学附属医院医德医风先进个人”、“年度最美服务之星”。


科室地址:住院楼13楼

咨询电话:0839-4315886



科普时间:认识儿童桡骨颈骨折


图片





1.什么是桡骨颈骨折?



桡骨颈位于肘关节桡骨近端,是儿童肘部常见骨折之一,约占所有小儿骨折的2%。该骨折多因摔倒时手臂伸直,肘部受到外翻暴力冲击,导致肱骨小头与桡骨头相撞所致。




2.为何儿童更容易发生?



儿童骨骼尚未发育成熟,桡骨颈处存在骨骺(生长板),力学强度较弱,外力作用下易发生骨骺损伤,常属于Salter - Harris Ⅱ型骨折。




3.有哪些表现?



肘部肿胀、疼痛、活动受限;

前臂旋转功能明显下降;

有时伴有肘内侧牵拉伤,可能合并尺骨近端、鹰嘴或肱骨内上髁骨折。




4.如何治疗?



成角<30°:可采用石膏固定等保守治疗;

成角≥30°或明显移位:建议手术干预。微创撬拨复位+弹性髓内钉固定具有创伤小、不留明显疤痕、不影响骨骺生长、恢复快等优点。




5.家长注意事项



孩子摔伤后若肘部持续疼痛、肿胀、不愿活动,应尽快就医,明确诊断。早期正确处理对预防关节僵硬、畸形愈合及功能障碍至关重要。




分享到: