显微镜下“拆弹”!旺苍县人民医院成功实施高难度复发小脑肿瘤切除术

发表时间:2025-10-17 08:11

10月11日,旺苍县人民医院神经外科团队在西南医科大学附属医院神经外科对口支援专家向伟博士的全程指导下,凭借精湛技术,成功为一名71岁小脑肿瘤术后复发患者实施 “显微镜下小脑半球肿瘤全切术 + 硬脑膜修补术”。该手术历时近7小时,精准解决了肿瘤侵犯静脉窦的复发性肿瘤治疗难题,标志着医院神经外科在复杂颅内肿瘤诊疗领域实现技术突破,为县域内神经系统重症患者提供了优质医疗保障。



病情危急:患者10年肿瘤复发

伴多重风险



患者为71岁男性,10年前因 “小脑胶质瘤” 在外院接受过手术治疗,因肿瘤侵犯静脉窦,首次手术未能全切,术后因脑水肿加重而再次行去骨瓣减压术,术后患者逐渐恢复,10年来未定期复查。今年9月29日,患者突然出现头痛、呕吐症状,且伴随头晕、视物旋转,家属紧急拨打 “120”电话,患者被送至旺苍县人民医院就诊,入院时患者血压高达 201/115mmHg,呕吐频繁,病情十分危重。

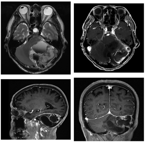
影像学检查(头颅CT及MRI)结果令人担忧,提示左侧小脑半球肿瘤复发,病灶与关键静脉窦(左侧横窦和乙状窦)关系密切,且内部已伴有出血,引发严重颅内高压。更棘手的是,磁共振静脉成像(MRV)显示,患者左侧主要静脉回流通道 — 颈静脉及静脉窦系统疑似被肿瘤侵犯而未显影,且前次手术后导致枕部肌肉萎缩,病变完全破坏前次手术修补的硬脑膜,这极大增加了手术风险与难度,稍有不慎可能导致致命性大出血及术后脑脊液漏从而危及患者生命。

捕获.PNG

▲术前MRI检查影像



多学科协作(MDT):制定精准手术方案



面对患者的复杂病情,旺苍县人民医院立即启动多学科协作(MDT)机制,由向伟博士与我院神经外科主任黄德尧主任医师牵头,联合影像科、麻醉科、ICU、呼吸科、心血管内科等多个科室开展术前讨论。经过周密研判与充分评估,团队最终为患者制定了详尽的个体化手术治疗预案,确定实施 “显微镜下小脑半球肿瘤全切术 + 硬脑膜修补术”。



7小时攻坚:显微镜下“抽丝剥茧”完整切除肿瘤



10月11日,手术在全麻下正式开始,向伟博士全程在手术室现场指导,术中神经外科团队面临两大关键挑战:一是肿瘤起源于左侧横窦、乙状窦,且与周围神经、血管紧密粘连,稍有不慎可能导致大出血或神经功能损伤;二是需修补首次手术后及病变破坏的硬脑膜,预防术后脑脊液漏,枕肌萎缩、切口疤痕等手术导致修补十分困难。

图片5.png

患者术前定位切口

微信图片_20251017162651_193_229.jpg

▲显微镜下手术中


关键时刻,向伟博士通过高倍显微镜精准定位肿瘤与静脉窦的粘连边界,指导团队在高倍视野下精细分离肿瘤与正常组织,逐步剥离肿瘤与静脉窦的粘连,最终将肿瘤(含首次手术未全切部分)完整切除。随后采用 “自体筋膜 + 人工脑膜” 的联合修补方式,严密修补硬脑膜缺损,封闭创腔,彻底规避脑脊液漏风险,仅修补时间就长达2小时以上。整台手术历时近7小时,过程顺利,出血控制良好,术中未输血。



术后恢复:病情平稳,即将出院



术后,患者被转入ICU接受严密监护与镇静止痛治疗,恢复过程平稳顺利。术后病理报告确诊为 “梭形细胞肿瘤,考虑脑膜瘤”,为后续治疗提供了精准依据。目前,患者恢复良好,即将康复出院。



此次高难度颅内肿瘤复发二次切除术的成功开展,离不开西南医科大学附属医院对口支援专家向伟博士的专业指导,不仅填补了旺苍县人民医院在“复杂小脑肿瘤手术”、“复杂静脉窦区肿瘤切除” 领域的技术空白,更充分体现了对口支援机制对县域医院诊疗能力提升的重要作用。

下一步,医院将继续依托对口支援资源,深耕神经外科等重点学科建设,持续提升复杂重症诊疗能力,让县域内患者在家门口就能享受到高质量医疗服务,无需远赴外地就医,切实减轻患者就医负担。


分享到: